
1. Doble sistema colector: Es una de las variantes de la normalidad más frecuentes. Se debe a la división del esbozo ureteral durante la embriogénesis. En la ecografía aparece como una banda hipoecoica que divide la grasa sinusal en su TOTALIDAD en dos partes ⚠️

2. Abceso: como ya sabemos, el abceso suele ser una imagen de colección, normalmente bordes irregulares, con contenido, suele dejar refuerzo acuático posterior. Un abceso renal suele ser asociar una pielonefritis, lo cual se presentará con síntomas de ITU grave (fiebre, dolor).

3. Masa renal (tumor): el diagnóstico diferencial más importante, debido a su pronóstico y probable malignidad. Pueden darse tumores isoecogénicos con la corteza renal, pero suelen ser más heterogéneos, en el doppler harían una captación más caótica, hipervascularizada, propia de una lesión maligna.

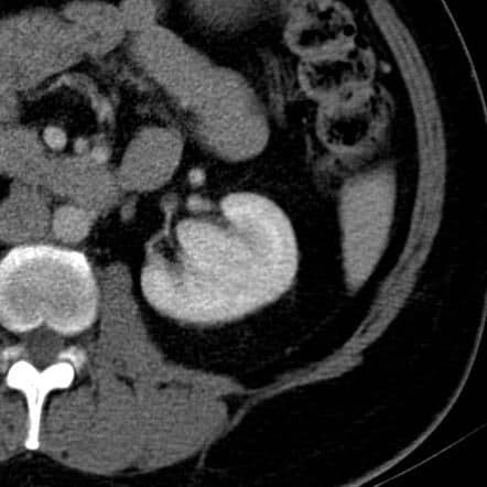
4. Hipertrofia de la Columna de Bertin: el diagnóstico del caso que hemos presentado. Es muy frecuente. Consiste en tejido cortical normal que protruye hacia el seno y se ubica entre dos pirámides medulares. Su ecogenicidad es la misma que la del parénquima renal. En el modo Doppler color, no captará.
‼️ Os dejo una tabla resumen de los tipos de variantes y un enlace para poder leer información más completa de las variantes de la normalidad renal en ecografía:
| Anomalías de forma | Anomalías de fusión | Anomalías de ascenso y rotación | Anomalías de número |
| Duplicación de sistema colector | Riñón en herradura | Ectopia renal | Agenesia renal bilateral |
| Hipertrofia de Columna de Bertin | Riñón en torta | Malrotación renal | Agenesia renal unilateral |
| Defecto de unión corticomedular | Hipoplasia renal | ||
| Lobulación fetal | |||
| Joroba de dromedario | |||
| Pelvis extrarrenal |

