💊 Caso clínico de un quiste hidatídico, en esta ocasión hallazgo incidental en una paciente femenina de 14 años que acudió a urgencias por un politraumatismo.
✏️ Vamos a analizar los posibles diagnósticos diferenciales:
1. Quiste simple:
Imagen anecoica, redondeada, de paredes finas. Refuerzo acústico posterior. Doppler color: no capta.

2. Abceso:
Aspecto variable (según el tiempo de evolución). Imagen con contenido ecogénico. Puede presentar paredes irregulares. Suele tener algo de refuerzo acústico posterior.

3. Hematoma en evolución:
Si tenemos un antecedente de traumatismo o intervención, tenemos que tener en cuenta esta posibilidad diagnóstica y valorar el tiempo de evolución, ya que determinará las características ecográficas de los hallazgos.
Podríamos tener:
- Hemorragia reciente en las primeras 48h podremos ver una lesión ecogénica mal definida

- Durante la primera semana va tornándose hipoecogénico por la reabsorción y el líquido interstitial, quedando mejor delimitado.

- Hematoma calcificado: las 2-3 semanas siguientes será un hematoma evolucionado, siendo más organizado y pudiendo presentar tabiques, áreas ecogénicas o engrosamiento de pared.

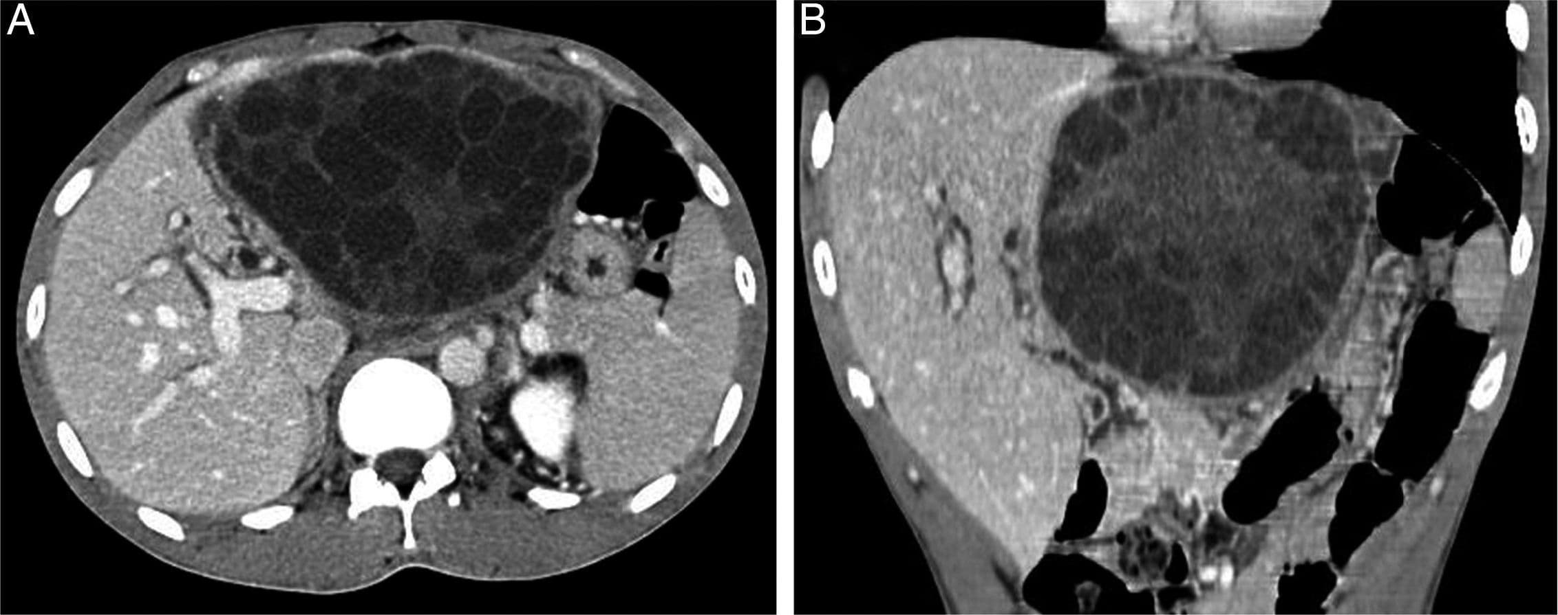
4. Quiste hidatídico:


El caso que hemos presentado se trata de un quiste hidatídico tipo II con la membrana desprendida. Os dejo imágenes con los diferentes tipos y el manejo de los mismos.


‼️ Os dejo subidos también varios artículos, uno de ellos del Grupo de Trabajo de Ecografía de la SEMG sobre las lesiones focales hepáticas, donde participaron compañeros como Albert Foo (@keith.foo), Martín Marchese (@martin_marchese) y José Carlos Sánchez (@sanchezjc_83)

